
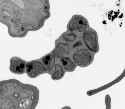
S10_File_Post_PVM_Rupture_E64.mrc
MRC · 684 x 649 x 306 · middle z 153
Scale: 10 x 10 x 20 nm · asset_api_details
Open Slice Viewer11 ready volumes, 0 blocked volumes, and 0 sidecars.
Validation warnings: 10. Asset states: validated: 11.
No blocked volumes in this pilot.
Slice caches are browser-sized PNG planes for fast inspection. They are not canonical scientific derivatives; OME-Zarr remains the production target.
| Asset | Volume | Viewer Cache | OME-Zarr | Open |
|---|---|---|---|---|
| S10_File_Post_PVM_Rupture_E64.mrc S10_File_Post_PVM_Rupture_E64.mrc | MRC · 684 x 649 x 306 Scale: 10 x 10 x 20 nm | Sampled 96/306 32.9 MiB | Not yet | Open Viewer |
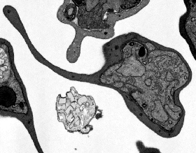
| S11_File_Post_PVM_Rupture_NoE64.mrc.tif S11_File_Post_PVM_Rupture_NoE64.mrc.tif | TIFF · 1005 x 870 x 339 Scale: 10 x 10 x 20 nm | Sampled 96/339 39.0 MiB | Not yet | Open Viewer |
| S1_File_Early_Segmentation_1.mrc S1_File_Early_Segmentation_1.mrc | MRC · 530 x 810 x 311 Scale: 10 x 10 x 20 nm | Sampled 96/311 10.8 MiB | Not yet | Open Viewer |
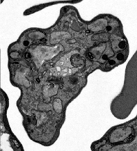
| S2_File_Early_Segmentation_2.mrc S2_File_Early_Segmentation_2.mrc | MRC · 773 x 607 x 397 Scale: 10 x 10 x 20 nm | Sampled 96/397 27.9 MiB | Not yet | Open Viewer |
| S3_File_Early_Segmentation_A.mrc S3_File_Early_Segmentation_A.mrc | MRC · 611 x 805 x 427 Scale: 10 x 10 x 20 nm | Sampled 96/427 23.4 MiB | Not yet | Open Viewer |
| S4_File_Early_Segmentation_B.mrc S4_File_Early_Segmentation_B.mrc | MRC · 621 x 798 x 382 Scale: 10 x 10 x 20 nm | Sampled 96/382 23.0 MiB | Not yet | Open Viewer |
| S5_File_Mid_Segmentation_1.mrc S5_File_Mid_Segmentation_1.mrc | MRC · 655 x 718 x 278 Scale: 10 x 10 x 20 nm | Sampled 96/278 19.4 MiB | Not yet | Open Viewer |
| S6_File_Mid_Segmentation_2.mrc S6_File_Mid_Segmentation_2.mrc | MRC · 657 x 726 x 278 Scale: 10 x 10 x 20 nm | Sampled 96/278 28.9 MiB | Not yet | Open Viewer |
| S7_File_Mid_Segmentation_A.mrc S7_File_Mid_Segmentation_A.mrc | MRC · 838 x 701 x 249 Scale: 10 x 10 x 20 nm | Sampled 96/249 31.7 MiB | Not yet | Open Viewer |
| S8_File_Mid_Segmentation_B.mrc S8_File_Mid_Segmentation_B.mrc | MRC · 830 x 651 x 290 Scale: 10 x 10 x 20 nm | Sampled 96/290 27.6 MiB | Not yet | Open Viewer |
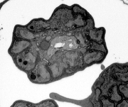
| S9_File_PVM_Rupture.mrc S9_File_PVM_Rupture.mrc | MRC · 617 x 617 x 190 Scale: 10 x 10 x 20 nm | Sampled 96/190 18.1 MiB | Not yet | Open Viewer |
No OME-Zarr derivative has been generated for this pilot dataset yet.
Dependency-light PNG previews generated from local TIFF/MRC volumes.

MRC · 684 x 649 x 306 · middle z 153
Scale: 10 x 10 x 20 nm · asset_api_details
Open Slice Viewer
TIFF · 1005 x 870 x 339 · middle z 169
Scale: 10 x 10 x 20 nm · asset_api_details
Open Slice Viewer
MRC · 530 x 810 x 311 · middle z 155
Scale: 10 x 10 x 20 nm · asset_api_details
Open Slice Viewer
MRC · 773 x 607 x 397 · middle z 198
Scale: 10 x 10 x 20 nm · asset_api_details
Open Slice Viewer
MRC · 611 x 805 x 427 · middle z 213
Scale: 10 x 10 x 20 nm · asset_api_details
Open Slice Viewer
MRC · 621 x 798 x 382 · middle z 191
Scale: 10 x 10 x 20 nm · asset_api_details
Open Slice Viewer
MRC · 655 x 718 x 278 · middle z 139
Scale: 10 x 10 x 20 nm · asset_api_details
Open Slice Viewer
MRC · 657 x 726 x 278 · middle z 139
Scale: 10 x 10 x 20 nm · asset_api_details
Open Slice Viewer
MRC · 838 x 701 x 249 · middle z 124
Scale: 10 x 10 x 20 nm · asset_api_details
Open Slice Viewer
MRC · 830 x 651 x 290 · middle z 145
Scale: 10 x 10 x 20 nm · asset_api_details
Open Slice Viewer
MRC · 617 x 617 x 190 · middle z 95
Scale: 10 x 10 x 20 nm · asset_api_details
Open Slice Viewer