
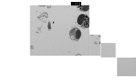
Electron-microscopy-data/Free-living_cells/Freeling-Phaeocystis-14cells.tif
TIFF · 1134 x 690 x 883 · middle z 441
Scale: 20 x 20 x 20 nm · tiff_imagej_metadata
Open Slice Viewer8 ready volumes, 0 blocked volumes, and 0 sidecars.
Validation warnings: 1. Asset states: validated: 8.
No blocked volumes in this pilot.
Slice caches are browser-sized PNG planes for fast inspection. They are not canonical scientific derivatives; OME-Zarr remains the production target.
| Asset | Volume | Viewer Cache | OME-Zarr | Open |
|---|---|---|---|---|
| Freeling-Phaeocystis-14cells.tif Electron-microscopy-data/Free-living_cells/Freeling-Phaeocystis-14cells.tif | TIFF · 1134 x 690 x 883 Scale: 20 x 20 x 20 nm | Sampled 96/883 11.2 MiB | Not yet | Open Viewer |
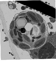
| Symbiotic-cell&16plastids.tif Electron-microscopy-data/Symbiotic_cells/Symbiotic-cell&16plastids.tif | TIFF · 916 x 1100 x 606 Scale: 10 x 10 x 10 nm | Sampled 96/606 26.2 MiB | Not yet | Open Viewer |
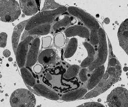
| Symbiotic-cell&31plastids.tif Electron-microscopy-data/Symbiotic_cells/Symbiotic-cell&31plastids.tif | TIFF · 788 x 656 x 682 Scale: 20 x 20 x 20 nm | Sampled 96/682 38.9 MiB | Not yet | Open Viewer |
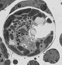
| Symbiotic-cell&36plastids.tif Electron-microscopy-data/Symbiotic_cells/Symbiotic-cell&36plastids.tif | TIFF · 710 x 743 x 530 Scale: 20 x 20 x 20 nm | Sampled 96/530 34.9 MiB | Not yet | Open Viewer |
| Symbiotic-cell&40plastids.tif Electron-microscopy-data/Symbiotic_cells/Symbiotic-cell&40plastids.tif | TIFF · 630 x 584 x 439 Scale: 20 x 20 x 20 nm | Full 439/439 112.5 MiB | passed · 154.0 MiB | Open Viewer |
| Symbiotic-cell&4plastids.tif Electron-microscopy-data/Symbiotic_cells/Symbiotic-cell&4plastids.tif | TIFF · 859 x 828 x 492 Scale: 10 x 10 x 10 nm | Sampled 96/492 24.3 MiB | Not yet | Open Viewer |
| Symbiotic-cell&54plastids.tif Electron-microscopy-data/Symbiotic_cells/Symbiotic-cell&54plastids.tif | TIFF · 810 x 815 x 584 Scale: 20 x 20 x 20 nm | Sampled 96/584 34.3 MiB | Not yet | Open Viewer |
| Symbiotic-cell&65plastids.tif Electron-microscopy-data/Symbiotic_cells/Symbiotic-cell&65plastids.tif | TIFF · 691 x 683 x 632 Scale: 20 x 20 x 20 nm | Sampled 96/632 32.3 MiB | Not yet | Open Viewer |
OME-Zarr · uint8 · shape z/y/x 439 x 584 x 630 · chunks 32 x 256 x 256
Validation: passed · derivative size 0.150 GiB
Open Slice ViewerDependency-light PNG previews generated from local TIFF/MRC volumes.

TIFF · 1134 x 690 x 883 · middle z 441
Scale: 20 x 20 x 20 nm · tiff_imagej_metadata
Open Slice Viewer
TIFF · 916 x 1100 x 606 · middle z 303
Scale: 10 x 10 x 10 nm · tiff_imagej_metadata
Open Slice Viewer
TIFF · 788 x 656 x 682 · middle z 341
Scale: 20 x 20 x 20 nm · tiff_imagej_metadata
Open Slice Viewer
TIFF · 710 x 743 x 530 · middle z 265
Scale: 20 x 20 x 20 nm · tiff_imagej_metadata
Open Slice Viewer
TIFF · 630 x 584 x 439 · middle z 219
Scale: 20 x 20 x 20 nm · tiff_imagej_metadata
OME-Zarr: passed · 0.150 GiB
Open Slice Viewer
TIFF · 859 x 828 x 492 · middle z 246
Scale: 10 x 10 x 10 nm · tiff_imagej_metadata
Open Slice Viewer
TIFF · 810 x 815 x 584 · middle z 292
Scale: 20 x 20 x 20 nm · tiff_imagej_metadata
Open Slice Viewer
TIFF · 691 x 683 x 632 · middle z 316
Scale: 20 x 20 x 20 nm · tiff_imagej_metadata
Open Slice Viewer